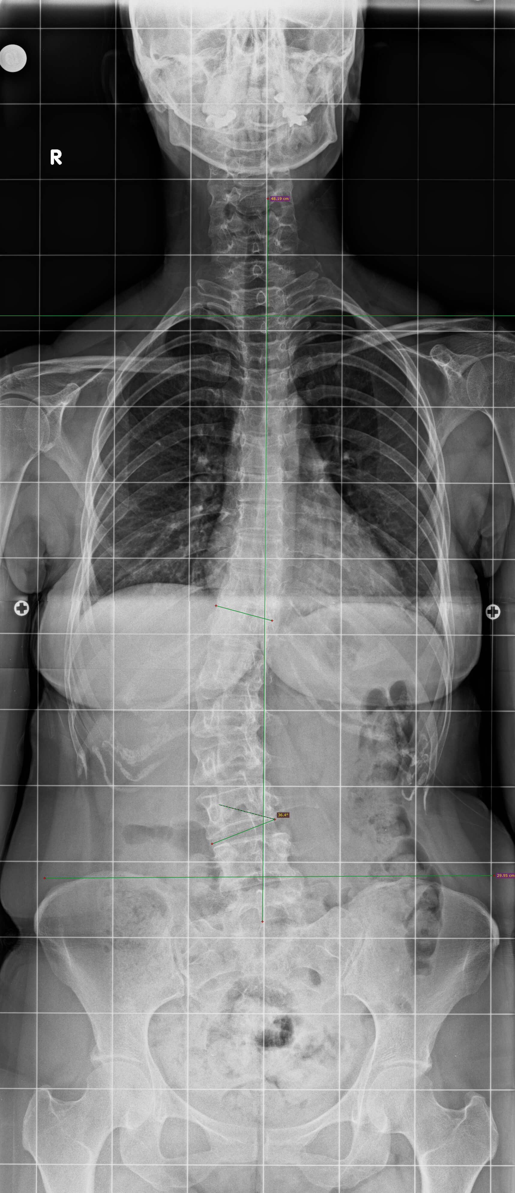
26 yaşında kadın hasta. Sırt ve bel ağrıları mevcut.
Ameliyat Öncesi
Ameliyat Sonrası
Use the search box to find the product you are looking for.