Toggle navigation
Anasayfa
David Egzersiz
Bilgi
Resimler
Omurga Hastalıkları
Kifoz
Adölesan Kifoz
Konjenital Kifoz
Skolyoz
60 Yaş Üstü Skolyoz
Adölesan İdiopatik Skolyoz
Adult Skolyoz
Juvenil İdiopatik Skolyoz
Konjenital Skolyoz
Nöromusküler Skolyoz
Omurga
Omurganın Öne Dogru Eğilmesi
Omurga Enfeksiyonları
Omurga İyi Huylu Tümörleri
Omurga Kayması
Omurga Kötü Huylu Tümörleri
Omurga Metastatik Tümörleri
Omurga Travmaları
Diğer
Omurga Yapısı
Ankilozan Spondilit
Bel Fıtıkları
Boyun Fıtıkları
Spinal Stenozlar
Videolar
Ameliyat Vİdeoları
Anlatım Videoları
Tümör
Hakkımızda
İletişim
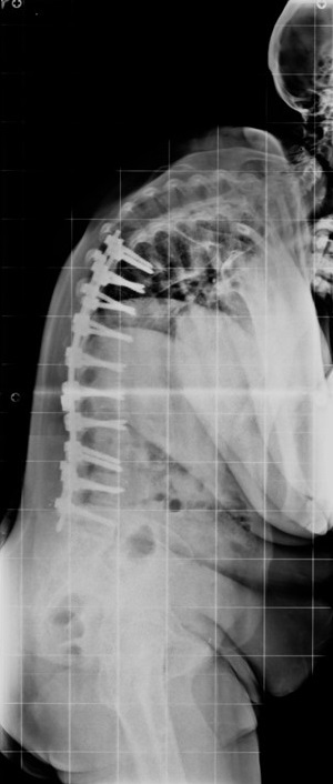
60 Yaşında Kadın Hasta
26 Haziran 2018
Ameliyat Öncesi
Ameliyat Sonrası
×
SEARCH
Use the search box to find the product you are looking for.
Arama:
Web sitemizde size en iyi deneyimi sunabilmemiz için çerezleri kullanıyoruz. Bu size daha iyi bir gezinti deneyimi sunar.
Kabul Et ve Kapat
Ayrıntılar